Call Today!
New Patients -
(586) 580-7517
Current Patients -
(586) 247-8730
SCHEDULE APPOINTMENT
Menu
Home
Our Dentists
Dental Services
Botox for Chronic Pain
CEREC Crowns
Cosmetic Dentistry
Dental Implants
Digital Dentures
Invisalign
Laser Dentistry
Pediatric Dentistry
Periodontal Treatment
Sleep Apnea
Tongue Tie Treatment
Tooth Extraction
Veneers
Smile Gallery
Testimonials
Schedule Appointment
Financing
Blog
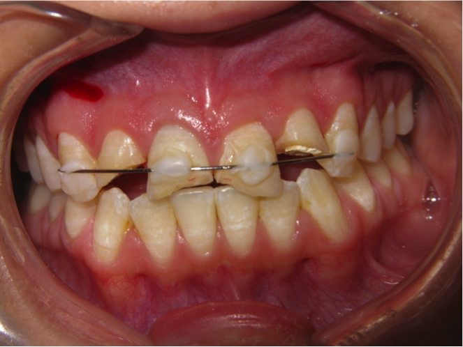
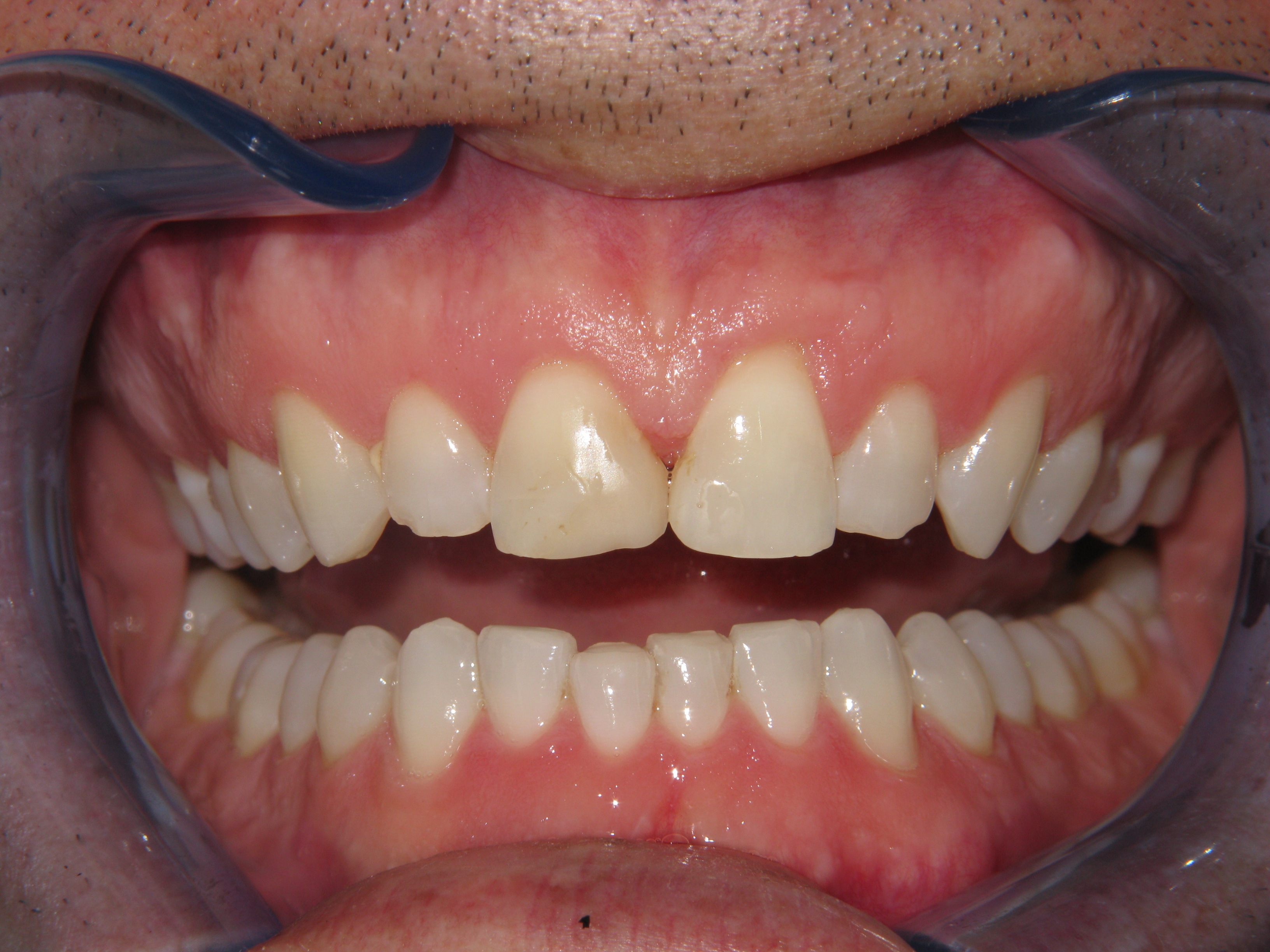
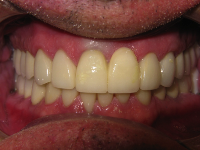
Before And After Smiles
Schedule Appointment
Before And After
Patient Reviews
Invisalign Smile Simulation
We use cookies to improve your experience. Your continued use of the site signifies your agreement with our Cookie Policy.
I Accept
Reject Nonessential Cookies